将细菌基因组打断,是构建文库的第一步,也是构建多样文库的一个重要保障。超声波和酶切法是两种常用的断裂基因组的方法。
下面我们看一下分别用超声波和酶切法打断“布鲁菌16M株”基因组的效果图。

对比效果展示

调整超声时间,打断结果图
基因组打断效果检测分析
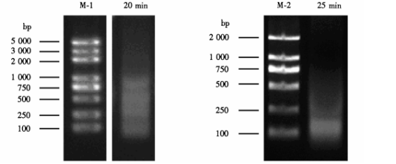
基因组打断效果检测分析:为了建立布鲁菌基因组随机文库,通过用Sau3AI 酶切和超声破碎基因组,得到想要的基因片段,为后续试验做准备。所需基因片段小于500 bp,片段均匀,大小适中(通过调整不同参数,确定最佳参数)。而通过电泳检测可知, 酶切法得到的基因片段大多数都是小片段,超声法得到的片段为一条抹带,符合后续试验需要。
超声法对DNA的打断是随机的,且实验重复性较高。对于那些与DNA结合不紧密的蛋白或低丰度表达的蛋白,如调控因子、转录因子等通常需要用交联试剂固定样本 ( 细胞或组织) 以稳定蛋白质和DNA的形态,这种情况最好用超声法。如果样本无需交联,例如研究对象是与DNA 结合紧密的蛋白或高丰度表达的蛋白,那么便可以使用酶法。但酶切法得到的DNA片段相对较短,不适合染色质免疫共沉淀技术及与芯片方法的结合(CHIP-Chip) 实验和染色质免疫沉淀测序(CHIP-Seq) 实验。
超声波DNA打断用到的仪器

超声波DNA打断仪采用等温非接触的方式对样品进行打断、匀浆和混合。用于无菌、可超微量破碎,隔着离心管能打断染色体。专为二代测序DNA样本与染色质免疫共沉淀实验样本前处理量身订做。相比传统的探头超声波破碎仪,探头与样品直接接触,一次只能处理一个样品,实验周期长。对于多个样品,需要重复使用同一探头,容易造成样品交叉污染。非接触式样品可在密闭容器下进行破碎,不产生感染性飞雾,超声探头与样品不接触,避免交叉污染。对于每天要处理多个样品或者贵重样品的实验室。
非接触超声波DNA破碎仪具有处理高通量,样本低损耗,无交叉污染等优势。逐渐成为ChiP(染色质免疫共沉淀)和DNA剪切研究平台不可缺少的标准化工具。

